關於我們
About Us
最新消息
News
醫療團隊
Our Team
診療項目
Clinic Menu
臨床案例
Case Studies
衛教園地
Instruction
首頁
品寧牙醫
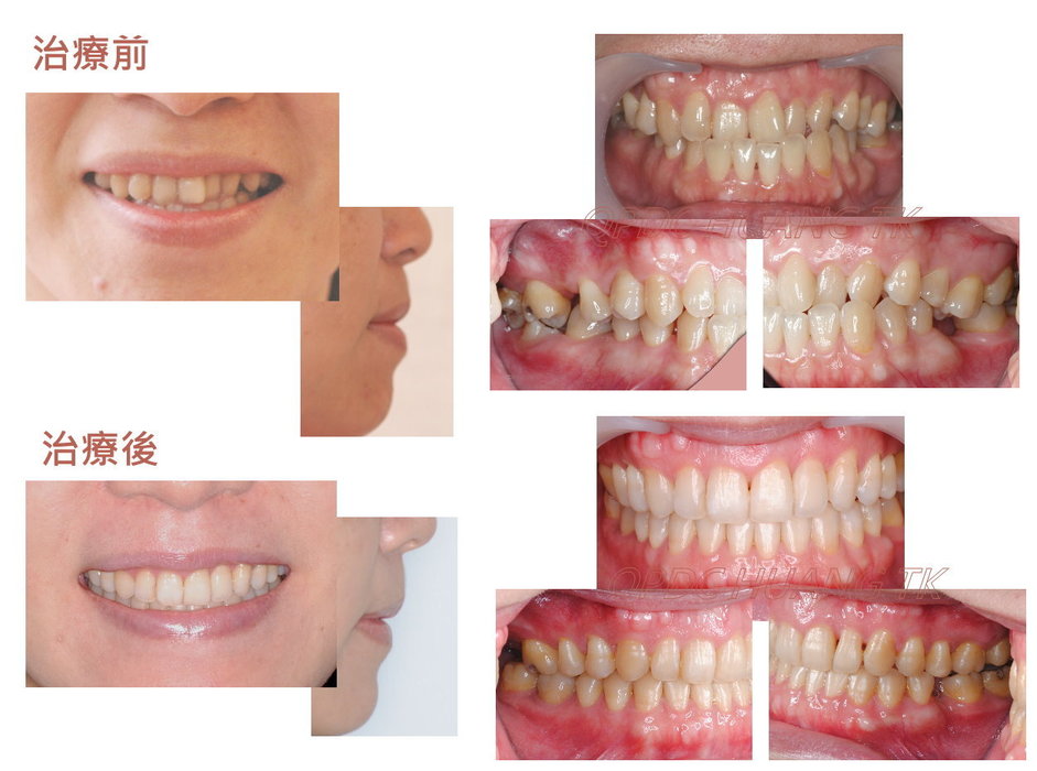
臨床案例
齒顎矯正治療
案例二
分享
購物車
登入
Close
帳號
密碼
驗證碼
Voice Play
2693
登入
忘記密碼
登入成功