關於我們
About Us
最新消息
News
醫療團隊
Our Team
診療項目
Clinic Menu
臨床案例
Case Studies
衛教園地
Instruction
首頁
品寧牙醫
診療項目
家庭牙科治療
兒童牙科
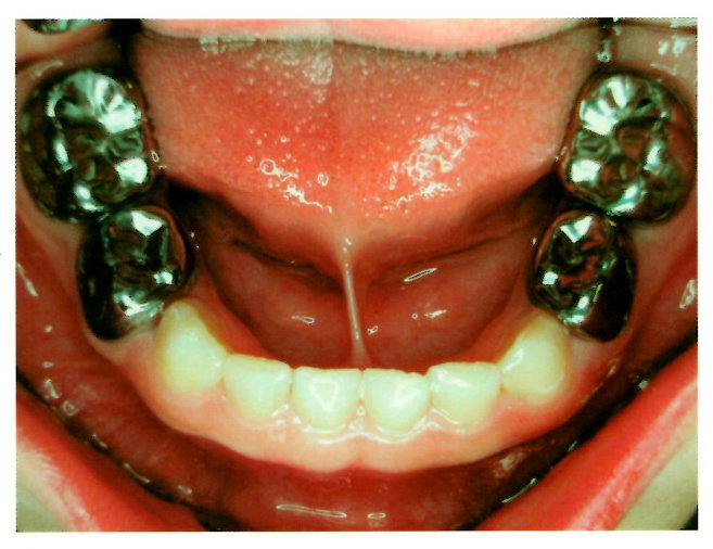
不锈鋼牙冠重建
不锈鋼牙冠重建
乳牙若已完成根管治療,建議以不銹鋼牙冠重建齒質,除了可以保有原有的咀嚼功能之外,亦可有維持空間的功能。
購物車
登入
Close
帳號
密碼
驗證碼
Voice Play
4851
登入
忘記密碼
登入成功